Back to Top

Smile Gallery:Integrating Health, Function, and Beauty to give you the smile you want.

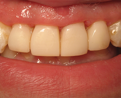
Patient 2

← Back to Gallery
Before After

Ready for a New
Dental Experience?

Schedule A Free Consultation

Contact Us

*Required

Location

9001, 2nd floor, North Main Street,
Dayton, Ohio- 45415.
Map & Directions

Phone: 937.836.7282
Fax: 937.836.7394

No

Insurance ?